Kreuzbandriss speziell / Tibial Plateau Leveling Osteotomy (TPLO)
Voraussetzungen
Bei Hund sind etwa 60 verschiedene Operationstechniken für die Behandlung von einem Kreuzbandriss beschrieben. Bei vielen Techniken wird das Kniegelenk mit einem Band ersetzt. Dies wird entweder an einer anderen Stelle im Körper des Hundes entnommen, oder es wird ein künstliches Band verwendet. Für leichte Hunde reicht die Operation mit einem Bandersatz. Bei schweren oder sehr aktiven Hunden sind die Resultate zum Teil ungenügend. Sie werden vorzugsweise mit der Tibial Plateau Levelling Osteotomy (TPLO) oder mit der TTA (Tuberositas Tibiae Advancement) operiert. Bei diesen Techniken werden Gelenkflächen oder Sehnenansätze gedreht oder versetzt. Dadurch wird Stabilität im Kniegelenk erreicht.
Technik
Die die Tibial Plateau Levelling Osteotomy (TPLO) ist eine Operationstechnik für Hunde mit einem gerissenen Kreuzband (auch Kreuzbandruptur genannt). Zusammen mit der TTA (Tuberositas Tibiae Advancement) ist die beste Operationsmethode für schwere oder sehr aktive Hunde.
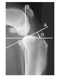
Wenn der Hund sein Bein belastet (A), entsteht im Knie eine Kraft noch vorne (B). Diese Kraft B muss neutralisiert werden, damit das Knie bei Belastung stabil ist. Dafür wird mit einer speziellen Säge der obere Teil des Unterschenkels ausgesägt und mit einer Platte fixiert.
-
α ist der Neigungswinkel der Gelenks- fläche (A) zur Längsachse des Knochens (B) -
Kontrollröntgenaufnahme drei Jahre nach OP
Verlauf
Mit einer TPLO operierte Hunde müssen nach der Operation acht Wochen an der Leine geführt werden. Dann wird ein Kontrollröntgen gemacht. Je nach Heilungsverlauf kann dem Hund danach wieder mehr Auslauf gewährt werden.